Ortodoncie
Individuální řešení pro rovné zuby, správný skus a dlouhodobou stabilitu
Ortodoncie, která se přizpůsobí vám
Neviditelná, fixní i kombinovaná rovnátka v centru Prahy
Léčbu vždy volíme podle potřeb vašeho chrupu - esteticky, funkčně a pod vedením zkušeného ortodontisty.
☆ Člen sítě Multi-klinika
Vysoké standardy lékařské péče, všechny obory stomatologie pod jednou střechou.
☆ Orientace na pacienta
Individuální léčebné plány a přátelský přístup našich odborníků
☆ Moderní ortodontické systémy
Kompletní spektrum ortodontických výkonů včetně nejmodernějších systémů (Invisalign, Spark, ...)
Léčbu plánujeme vždy individuálně dle potřeb vašeho chrupu tak, abychom dosáhli funkčního, estetického a dlouhodobě stabilního výsledku. K dispozici proto máme "neviditelná" i fixní kovová a keramická rovnátka.
Jaké typy ortodontické léčby nabízíme
Neviditelná rovnátka (alignery)
Diskrétní a komfortní řešení bez kovových zámků.
- téměř neviditelná
- snímatelná
- snadné čistění zubů a vyšší komfort při léčbě
- vhodná pro děti i dospělé
- vhodná pro většinu vad
Nejčastější volba pacientů, kteří chtějí rovnat zuby bez omezení každodenního života. Zajišťujeme pomocí moderních systémů Invisalign či Spark.
Fixní rovnátka
Tradiční a velmi přesná metoda ortodontické léčby.
- kovová nebo estetická varianta
- vysoká kontrola pohybu zubů
- vhodná pro složitější skusové vady
- obtížné čištění zubů, menší komfort při léčbě
- často využívaná u dětí a teenagerů, ale i u dospělých
Snímatelné aparáty
Používají se zejména na začátku výměny chrupu.
- Vhodná pouze pro jednodušší pohyby zubů.
- Pro požadovaný léčebný efekt je nutné je nosit i ve dne, nikoliv pouze na noc.
- Často slouží jako přípravná fáze léčby
Kombinovaná ortodontická léčba
Individuální řešení pro komplexní případy.
- kombinace fixních rovnátek a alignerů
- maximální efektivita + vyšší komfort
- možnost přechodu mezi aparáty v průběhu léčby
Pro koho je ortodoncie vhodná
Ortodontická léčba je vhodná pro:
- děti a teenagery v období růstu
- dospělé, kteří chtějí zlepšit estetiku úsměvu, upravit obličej či profil (posuny čelisti, chirurgicky kombinované zákroky)
- pacienty s relapsem po dřívější léčbě
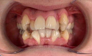
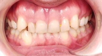
- pacienty s předkusem, obráceným skusem, hlubokým skusem, otevřeným skusem, zkříženým skusem či mezerami
- osoby s přetížením zubů nebo potížemi s čelistním kloubem
- pacienty s individuálními potřebami
Nejste si jistí, zda je pro vás ortodoncie vhodná? Poraďte se s našimi lékaři v rámci vstupní či preventivní prohlídky.
Jak probíhá ortodontická léčba
01
Vstupní konzultace a vyšetření
Rozhovor pro pochopení vašich potřeb.
RTG vyšetření, analýza skusu a postavení čelistí. Orientační návrh léčby.
02
Návrh individuálního léčebného plánu
3D sken chrupu, výběr vhodného typu aparátu a odhad délky léčby. Výroba individuálního řešení.
03
Aktivní fáze léčby
Nasazení aparátu, kompletní instrukce a pravidelné kontroly vývoje léčby.
04
Ukončení léčby a retence
Zajištění dlouhodobé stability výsledku pomocí retenčních aparátů.
Proč zvolit ortodoncii na Dentální klinice Hradčanská?
Naši lékaři vám dovedou vše řádně vysvětlit, provést vás procesem léčby i průběžnými dotazy či nenadálými komplikacemi. Klademe důraz na individuální přístup a individuální léčebný plán podle vašich potřeb - ať už jsou estetické nebo zdravotní.
- zkušený ortodontista a interdisciplinární tým
- spolupráce se stomatochirurgií, hygienou a dalšími obory
- moderní diagnostika a digitální plánování
- dostupnost v centru Prahy
- jasná komunikace postupu i ceny léčby
Ortodoncii zajišťujeme nejen pro nové pacienty, ale také pro všechny pacienty ze sítě Multi-klinika.
Cena ortodontické léčby
Cena ortodontické léčby se vždy odvíjí od typu aparátu a náročnosti korekce.
- ortodontická konzultace
- neviditelná rovnátka
- fixní aparáty
- kombinovaná léčba
Cena vždy zahrnuje odborné vedení léčby, pravidelné kontroly, aparáty a retenční fázi. Narozdíl od běžných nabídek konkurence naše cena obsahuje opravdu všechny součásti léčby bez skrytých nákladů.
Nejčastější dotazy
Ortodontická léčba není bolestivá, ale je běžné, že v prvních dnech po nasazení nebo úpravě aparátu cítíte tlak nebo mírné pnutí.
Tento pocit obvykle odezní během několika dnů a je známkou toho, že se zuby začínají pohybovat správným směrem.
U neviditelných rovnátek bývá diskomfort zpravidla menší a kratší než u fixních aparátů.
Délka léčby je vždy individuální a závisí na typu vady a zvoleném aparátu.
- lehčí korekce: několik měsíců
- běžná ortodontická léčba: 1,5–2 roky
- složitější případy: individuálně
Přesný časový plán se dozvíte po vstupní konzultaci a vyšetření.
To nelze určit bez odborného vyšetření.
Volba rovnátek závisí na:
- typu a rozsahu vady
- postavení čelistí
- věku pacienta
- estetických preferencích
Na základě vyšetření vám ortodontista doporučí neviditelná, fixní, snímatelná nebo kombinovaná rovnátka — vždy s vysvětlením proč.
Ano, v mnoha případech ano — ale ne vždy samostatně.
U složitějších vad se často využívá kombinovaná léčba, kdy se část terapie provádí fixním aparátem a část pomocí alignerů.
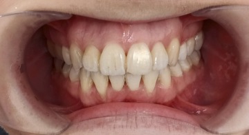
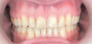
Cílem je vždy funkčně správný a stabilní výsledek, nikoli jen estetika.
Retence je nezbytnou součástí ortodontické léčby.
Po sundání rovnátek mají zuby přirozenou tendenci se vracet do původní polohy.
Používají se:
- fixní retenční dráty
- snímatelné retenční dlahy
Retenční fáze zajišťuje, že dosažený výsledek vydrží dlouhodobě.
Jedná se o velmi šetrné odstranění malého množství skloviny mezi zuby (v řádu desetin milimetru), které vytváří prostor pro jejich správné srovnání.
Zákrok:
- je rychlý
- nevyžaduje anestezii
- nijak nepoškozuje zuby
Používá se pouze tam, kde je to medicínsky vhodné.
Stripping nebolí.
Dospělí dnes tvoří velkou část pacientů, často právě díky neviditelným rovnátkům.
U fixních rovnátek ano — jsou trvale nasazená.
"Neviditelná" rovnátka se sundávají pouze na jídlo, pití některých nápojů a čištění zubů, je třeba je nosit 22 hodin denně.
Podle situace se léčba upraví nebo se zajistí náhrada, aby nedošlo ke zdržení.
Ortodontická léčba je většinou částečně nebo zcela hrazena samoplátcem, zejména u dospělých.
Konkrétní informace získáte při konzultaci.
Nechte si navrhnout individuální ortodontický plán
První krok ke zdravému a funkčnímu úsměvu bez kompromisu začíná objednávkou nezávazné konzultace.
Objednejte si konzultaci k MDDr. Lucii Zuzánkové Holubičkové na Dentální klinice Hradčanské.
Využijte kontakty nebo formulář níže, rádi se vám ozveme pro více detailů.
Dentální klinika Hradčanská
Tychonova 44/3, 160 00 Praha 6 - Hradčanská






